كشفت دراسة حديثة عن أداة ذكاء اصطناعي متطورة تتنبأ بتكرار الإصابة بسرطان البروستاتا لمدة تتجاوز عقدًا من الزمن، مما يعزز من إمكانية العلاج المبكر وتحسين فرص البقاء على قيد الحياة.
الدراسة وتفاصيلها
تم إجراء الدراسة من قبل باحثين من معهد أبحاث السرطان (ICR) ومؤسسة Royal Marden NHS Foundation Trust، ونشرت في مجلة Nature Cancer. تلقت الدراسة دعمًا ماليًا من مؤسسة أبحاث السرطان في المملكة المتحدة، ومجلس البحوث الطبية، وصندوق ويلكوم.
انتشار سرطان البروستاتا في المملكة المتحدة
يعد سرطان البروستاتا الأكثر شيوعًا بين الرجال في المملكة المتحدة، وفق تقرير نشره pharmatimes حيث يصيب واحدًا من كل ثمانية رجال خلال حياتهم، ويسبب أكثر من 12000 حالة وفاة سنويًا.
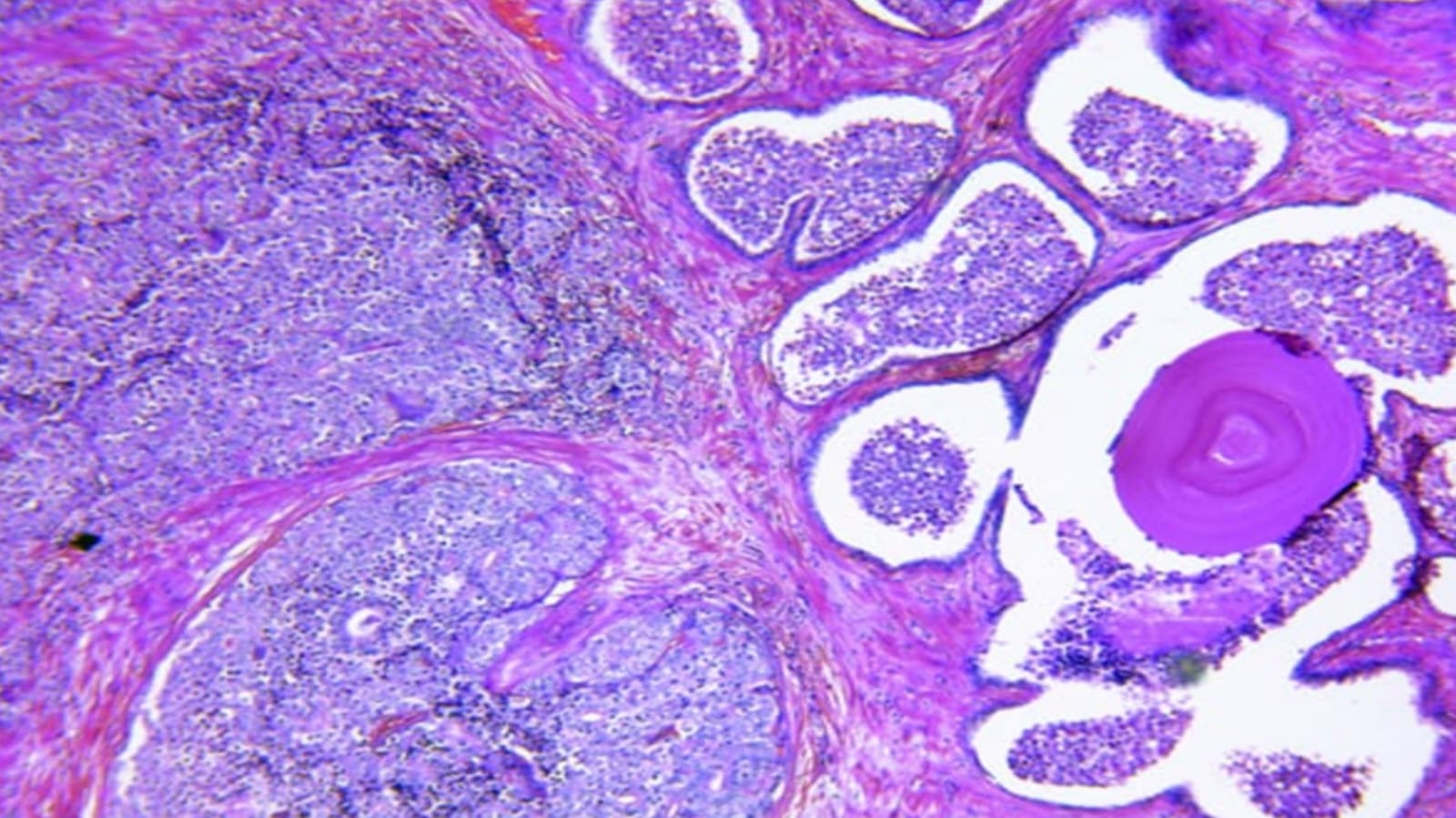
تحليل العينات والتعلم الآلي
اعتمد الباحثون على تقنيات التعلم الآلي لتحليل 1923 عينة من 250 مشاركًا في التجربة السريرية للعلاج الإشعاعي المعدل (IMRT). كما قاموا بتقييم الاختلافات الجينية بين الخلايا داخل الأورام باستخدام 642 عينة من 114 مشاركًا في تجارب العلاج الإشعاعي في رويال مارسدن. هذه التحليلات وفرت معلومات متكاملة حول جينومية الخلايا ومورفولوجيتها ونتائج المرضى على مدى أكثر من عقد.
النتائج والتنبؤ بالتكرار
أظهرت الدراسة أن الاختلاف الجيني والتنوع المورفولوجي الذي تم قياسه بالذكاء الاصطناعي يشير إلى قدرة الورم على التطور والبقاء. كما أظهرت أن هذا التنوع كان مؤشرًا قويًا على تكرار الإصابة، حيث أظهر المرضى الذين لديهم اختلافات جينية عالية تكرارًا للمرض بنسبة 50% أسرع من الآخرين.
العلاقة بين فقدان الكروموسوم والاستجابة المناعية
حدد الباحثون علاقة بين فقدان كروموسوم معين وانخفاض وجود الخلايا المناعية في الورم، مما يؤثر على استجابة الورم للعلاج. هذا الاكتشاف يفتح آفاقًا جديدة لفهم كيفية تعامل الجسم مع السرطان وتطوير علاجات جديدة.
التطلع إلى المستقبل
أكد البروفيسور ديفيد ديرنالي، الأستاذ الفخري في ICR، أن النتائج ستساعد في تحديد المرضى الذين يعانون من سرطان موضعي شديد الخطورة والذين يمكن أن يستفيدوا من العلاج المبكر بأدوية إطالة العمر. يعتزم الباحثون توسيع دراستهم لتشمل مجموعة أكبر من المرضى لتأكيد نتائجهم وتحسين دقة التنبؤ.
تأثير الأداة الجديدة على علاج سرطان البروستاتا
تعد الأداة الجديدة خطوة كبيرة نحو تحسين علاج سرطان البروستاتا، من خلال تمكين الأطباء من تحديد المرضى الذين يحتاجون إلى تدخل مبكر. استخدام الذكاء الاصطناعي في الطب يعزز من دقة التشخيص والعلاج، مما يسهم في تحسين جودة حياة المرضى وزيادة معدلات النجاة.




