التجاوز إلى المحتوى
لا توجد نتائج
  • الرئيسية
  • خدماتنا
    • تطوير أدوات وتطبيقات الذكاء الاصطناعي
    • خدمات استشارية
    • تكنولوجيا البلوك تشين
  • الراصد الإخباري
  • من نحن
  • اتصل بنا
  • ملفات تعريف الارتباط
  • شروط الاستخدام
  • سياسة الخصوصية
  • English
المركز العربي للذكاء الاصطناعي ACAIالمركز العربي للذكاء الاصطناعي ACAI
  • الرئيسية
  • خدماتنا
    • تطوير أدوات وتطبيقات الذكاء الاصطناعي
    • خدمات استشارية
    • تكنولوجيا البلوك تشين
  • الراصد الإخباري
  • من نحن
  • اتصل بنا
  • English
المركز العربي للذكاء الاصطناعي ACAIالمركز العربي للذكاء الاصطناعي ACAI

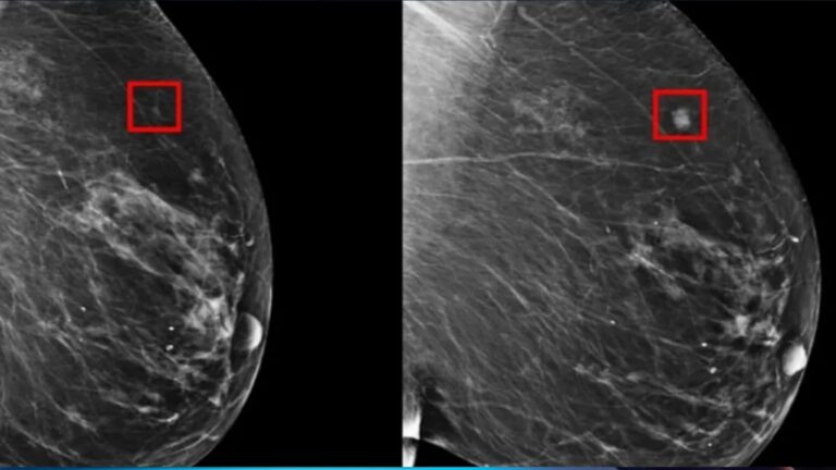
الذكاء الاصطناعي وسرطان الثدي

بريطانيا تعتمد الذكاء الاصطناعي للكشف المبكر عن سرطان الثدي

  • إبراهيم شعبان
  • 7 فبراير, 2025

الذكاء الاصطناعي يكشف عن خطر الإصابة بسرطان الثدي قبل سنوات من التشخيص

  • إبراهيم مصطفى
  • 29 يناير, 2025

دراسة ألمانية تكشف دور الذكاء الاصطناعي في تعزيز اكتشاف سرطان الثدي

  • إبراهيم شعبان
  • 8 يناير, 2025

الذكاء الاصطناعي يتفوق على البشر في اكتشاف سرطان الثدي

  • إبراهيم شعبان
  • 30 يوليو, 2024
  • تطوير أدوات وتطبيقات الذكاء الاصطناعي
  • خدمات استشارية
  • تكنولوجيا البلوك تشين
  • اتصل بنا
أيقونات السوشيال ميديا
  • اتفاقية ملفات تعريف الارتباط
  • شروط الاستخدام
  • سياسة الخصوصية
  • من نحن
حقوق النشر © 2024 - 2026، المركز العربي للذكاء الاصطناعي ACAI
الرئيسية إرسل إيميل أتصل بنا أعلى الصفحة
We use cookies to ensure that we give you the best experience on our website. If you continue to use this site we will assume that you are happy with it.